植牙手術
全口重建
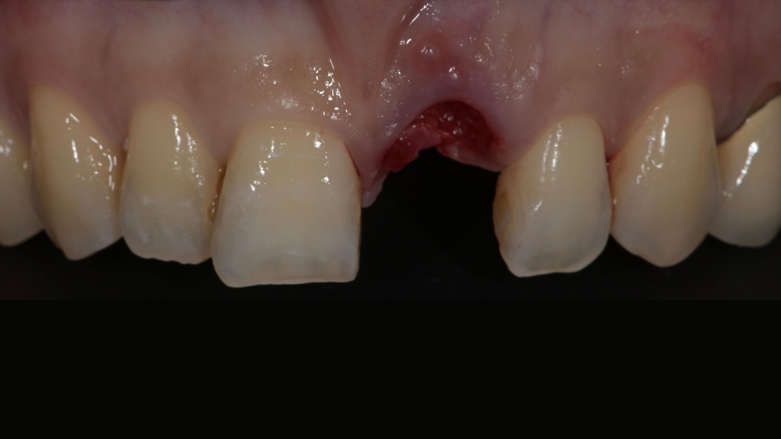
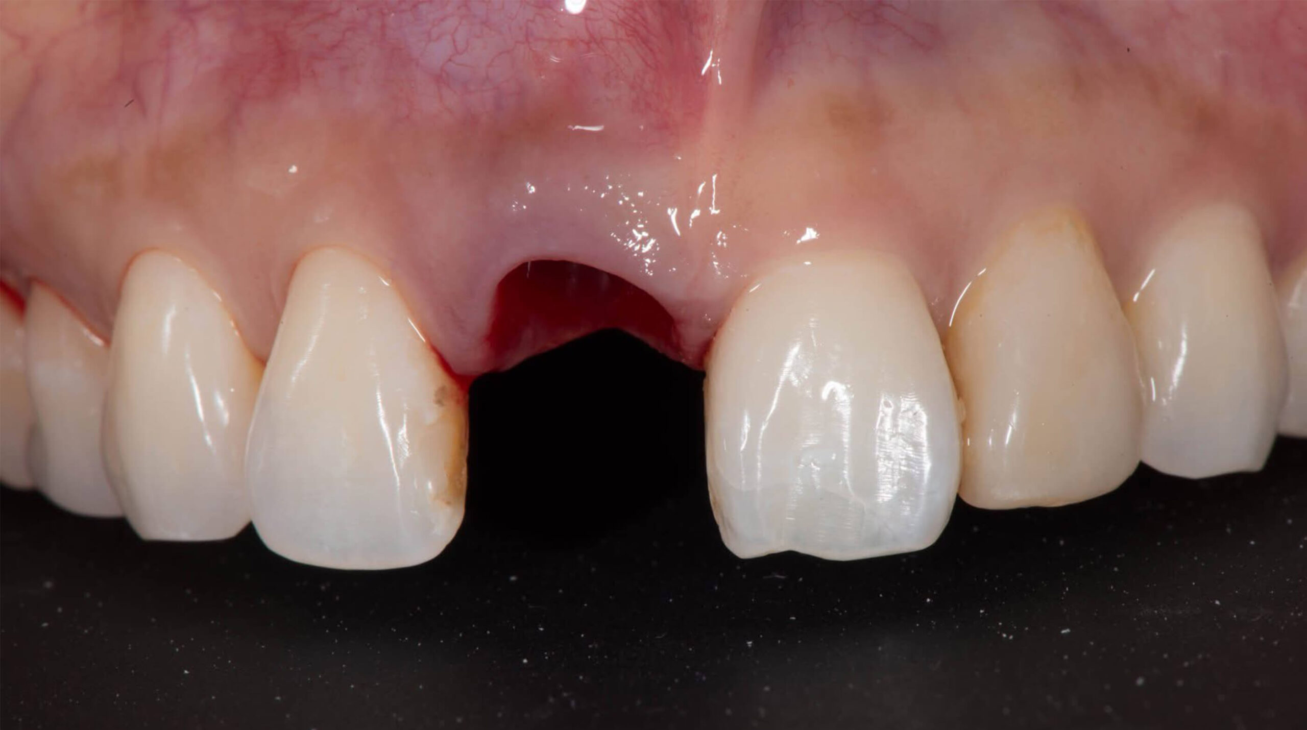
▌缺牙,其實影響的不只是外觀
少了一顆牙,看起來可能只是個小縫,
但時間一久——
牙齒會開始傾倒、骨頭慢慢流失,
咬東西不再順暢,連笑容都變得小心翼翼。
我們見過太多人,因為「先將就」,
最後花更多時間、金錢,
只為追回原本可以保住的條件。
—
在秝康牙醫診所,
我們希望您在決定植牙的那一刻起,
就能擁有一份安心——
來自精準評估、國際頂尖植體、
以及一位會為您把關每一步的醫師。
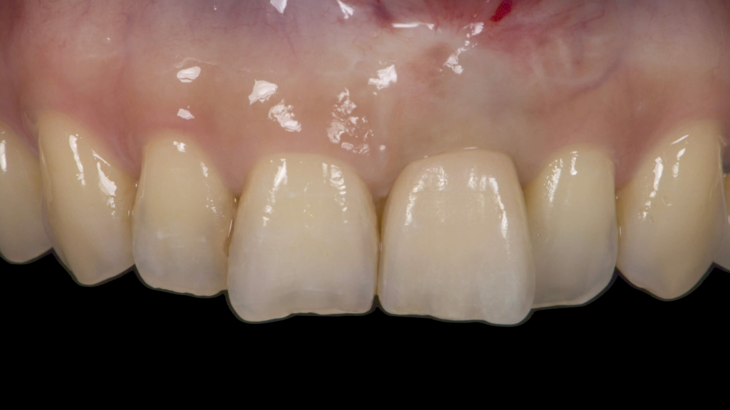
從評估開始,就與別人不同
植牙不是「補上一顆牙」這麼簡單。
我們會先為您做完整的 3D 影像分析,
檢查牙齒健康、骨質密度、牙齦狀況與咬合關係,
確保每一個角度、每一個深度,都精準到位。
因為位置正確、骨頭條件穩定,
才是日後能咬得安心、笑得自然的關鍵。
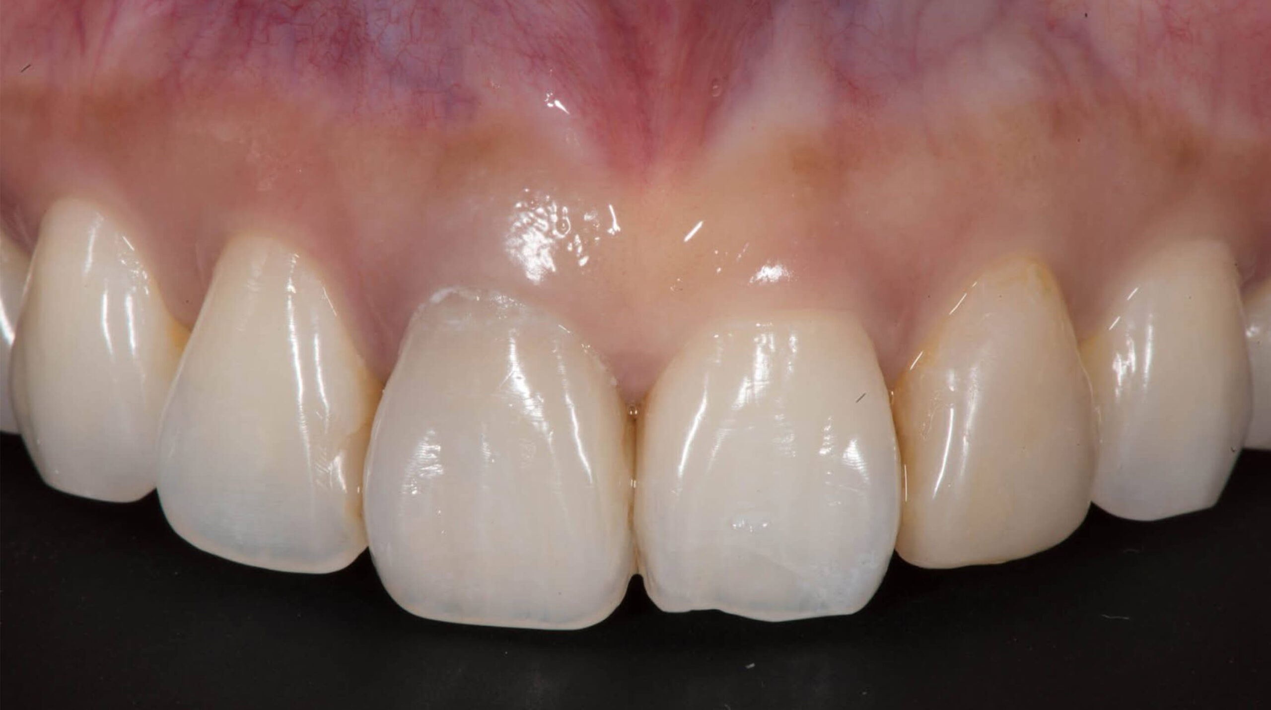
我們使用全球第一的植牙品牌 — Straumann(瑞士士卓曼)
植牙是一個要陪伴你多年、甚至一輩子的治療,
我們相信,唯有最頂尖,才能配得上你的笑容。
● 全球第一品牌:在超過 100 個國家使用,市佔率最高
● 35 年臨床驗證:大量研究與數據,成功率領先全球
● 高穩定性:骨整合速度快,降低失敗風險
● 長期安心:零件不缺貨,維修與保養方便
● 美觀自然:讓牙齦線條與真牙融為一體
在我們眼中,這不只是「補一顆牙」,
而是為你留住生活的質感與自信。
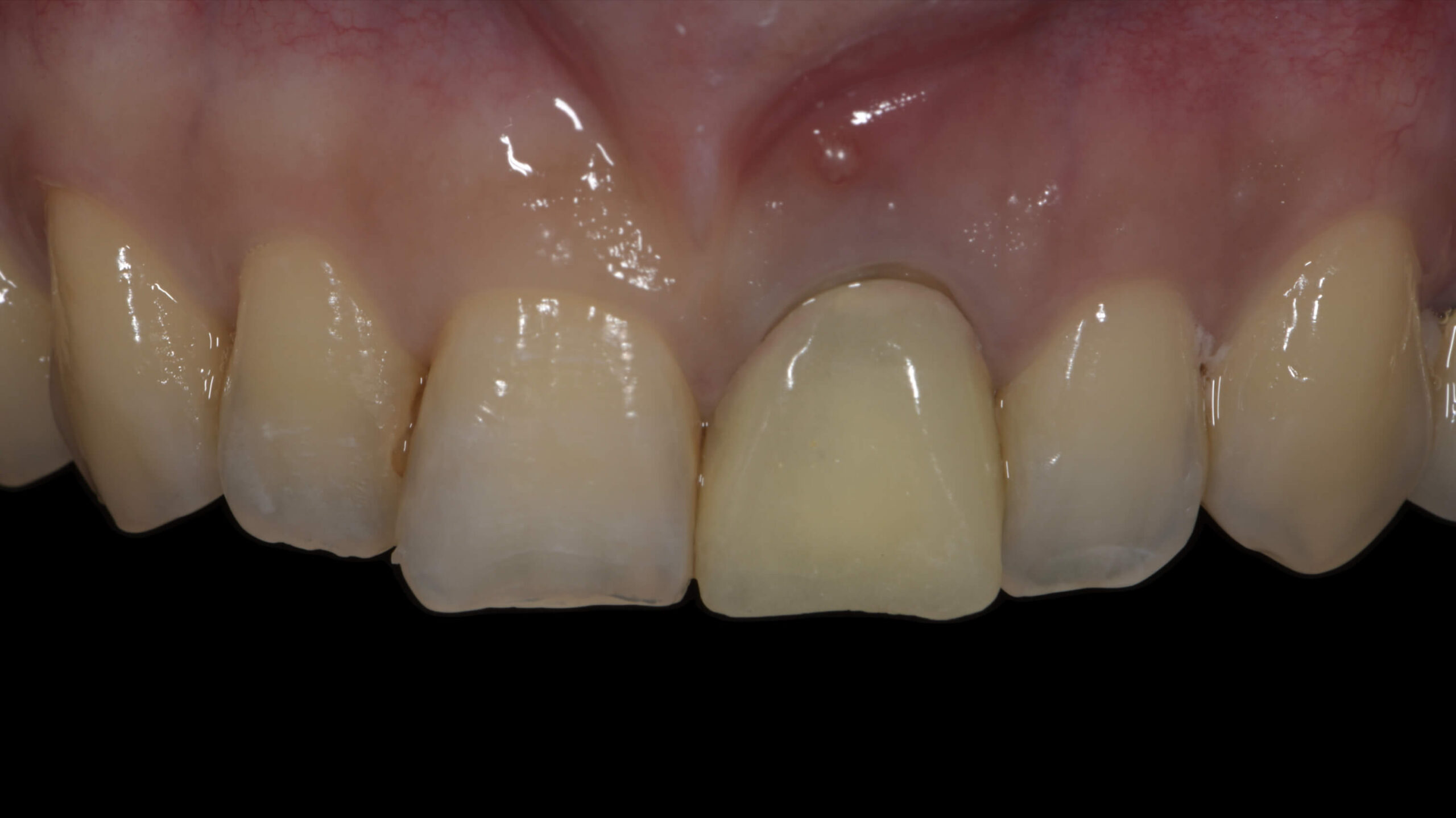
精準評估 × 頂尖植體 = 長久安心
每一位植牙患者,我們都會進行完整的 3D 影像檢測,
分析骨質密度、牙齦健康與咬合狀況,
確保植體位置精準到位,日後咬得穩、笑得自然。
案例
案例
案例
「植牙後,我終於可以放心咬牛排、開懷大笑。
那種安全感與自在,真的是無價的。」
📌 越早補牙,越能保住原本條件
植牙諮詢:
● 完整 3D 影像檢測
● 植牙可行性評估
● 個人化療程建議與報價
—
秝康牙醫診所|為您而生
pro arch All-on-4 全口重建|一日擁有一口好牙
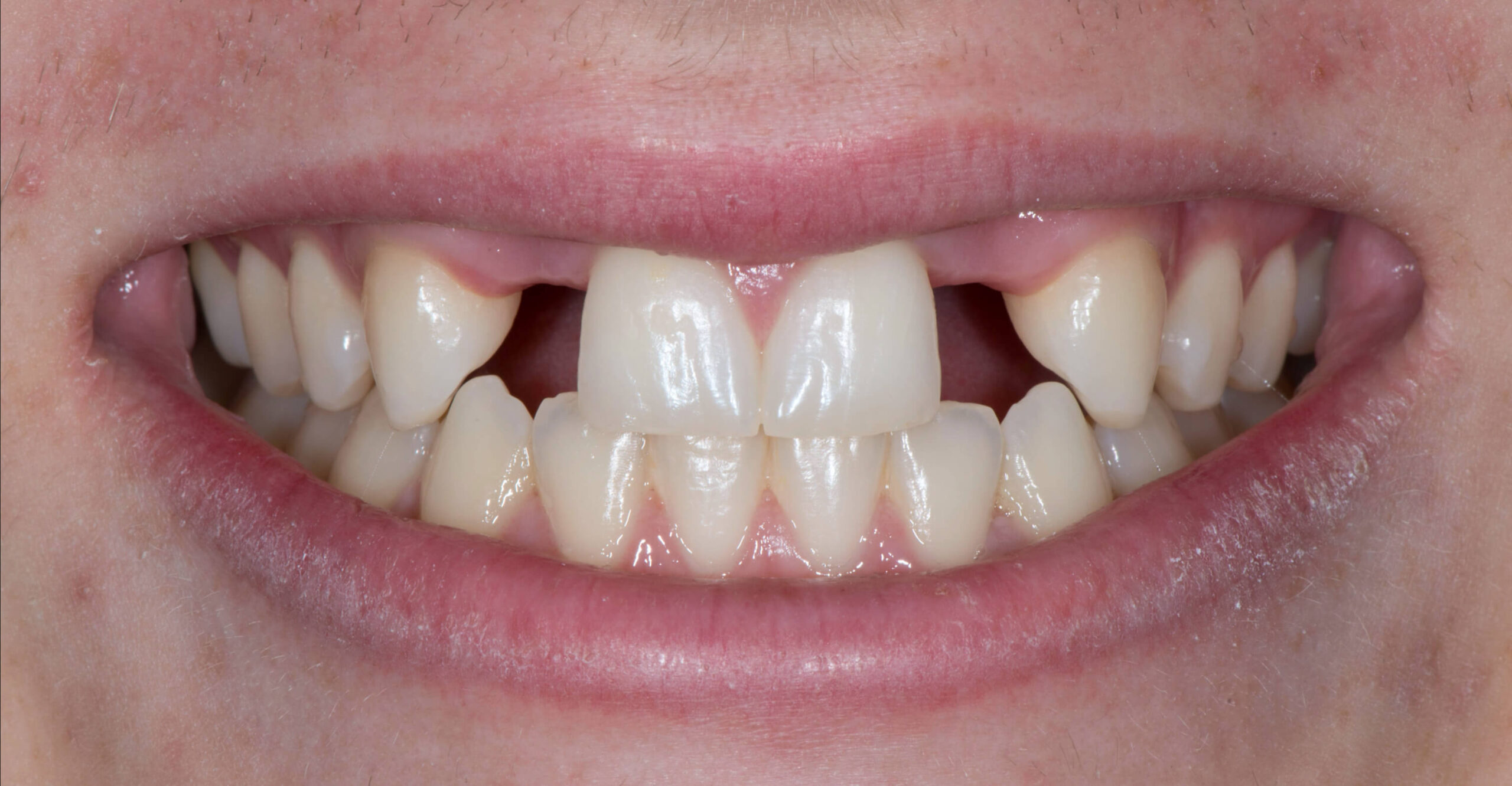
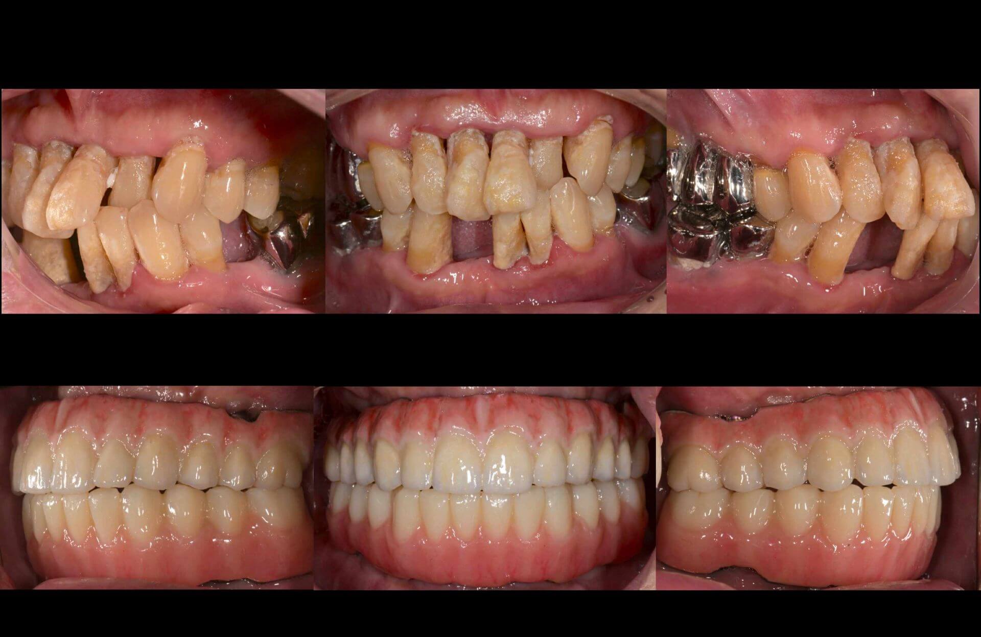
▌牙齒全掉了,真的還有救嗎?
缺牙不只讓人咬不動、笑不起來,
還可能讓臉型凹陷、顯老十歲,
連講話的自信都跟著消失。
我們見過太多人,因為害怕、拖延,
每天只能用假牙將就度日,
卻忍受鬆動、磨痛、咬不住食物的困擾。
pro arch All-on-4 全口重建,
就是為了讓你重新「一日擁有一口好牙」。
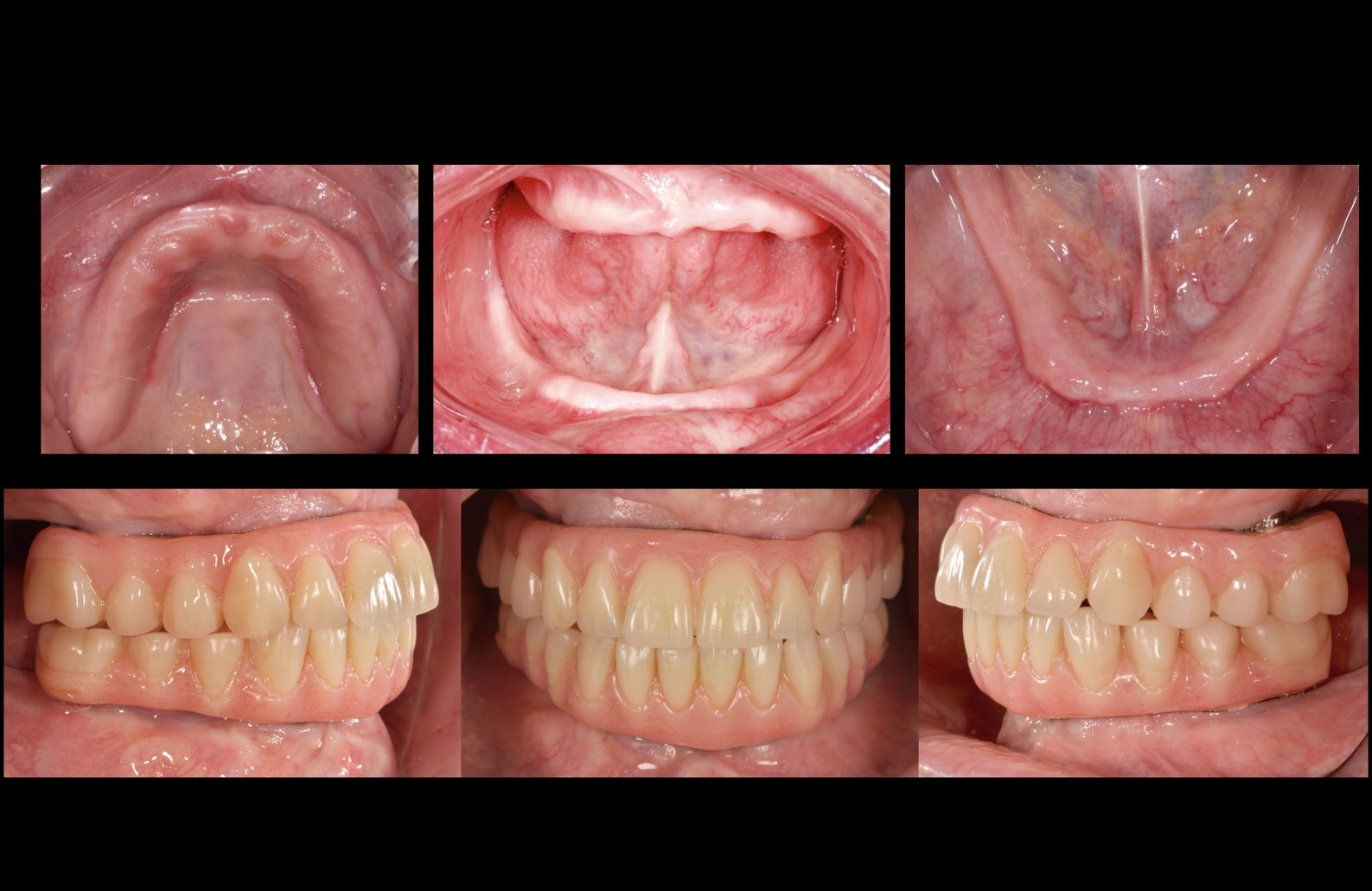
什麼是 pro arch All-on-4?
● 一次完成全口重建:4 支植體固定全口假牙
● 即拔即種:當天植牙、當天裝上臨時牙
● 快樂飲食:吃牛排、啃玉米都不怕
● 改善臉型:支撐嘴唇與臉頰,減齡效果自然
對於全口缺牙、牙周病牙齒無法保留的患者,
pro arch All-on-4 是穩定、快速又長期的重建方案。
秝康的 pro arch All-on-4 為什麼不一樣?
在秝康牙醫,全口重建不是「裝上一副牙」而已,
我們更重視長期穩定與舒適度:
1. 全口3D影像分析:精準掌握骨質狀況與神經位置,避開風險
2. 國際認證醫師:手術經驗豐富,減少腫痛與恢復時間
3. 即日臨時牙:當天植牙、當天有牙,馬上改善外觀與咬合
4. 長期追蹤保養:確保植體與牙齒使用壽命,讓笑容一直穩定
全口重建|完整 8 大步驟
全口重建的第一步,是徹底看懂這一口牙
臨床口腔攝影 × 咬合記錄 × 全方位資料蒐集
1. 資料蒐集
使用 Kois Analyzer(華大學長專利) 評估咬合平面與臉部中線,確保笑容對稱自然。
拍攝臨床口內外照片、全口 X 光片、3D 模型與咬合記錄,分析可保留牙齒、牙周健康與骨質條件。
2. 臨時活動假牙
無法立即植牙時,先製作臨時活動假牙,恢復基本咀嚼與外觀,保護牙齦與骨頭。
3. 設計與規劃植牙
依據骨質密度、神經位置與微笑曲線,規劃 pro arch All-on-4 植體位置與假牙形態。
4. 植牙 × 固定假牙一次完成
當天植牙、當天固定臨時假牙,立即恢復穩定牙齒與笑容。
5. 調整咬合與美觀
微調咬合與假牙比例,確保舒適與自然外觀。
6. 二次評估
使用臨時假牙一段時間後,重新檢測骨整合與咬合穩定度。
7. 正式假牙製作
依據使用體驗與美觀需求,製作量身訂製的正式固定假牙。
8. 患者心得
1|咬東西終於不用怕了
「以前什麼都得挑軟的吃,
牛排、花生、玉米都只能想想。
做了這個全口重建後,
我第一口就咬了蘋果,心裡那種踏實,真的很久沒感覺過了。」
________________________________________
2|笑容回來,人也開朗了
「缺牙後,我拍照都不敢露齒笑,
見人也會下意識地用手遮嘴。
現在牙齒整齊又漂亮,
朋友說我整個人看起來年輕多了,
我自己也覺得心情變開朗了。」
________________________________________
3|不用再忍假牙的麻煩
「以前戴活動假牙,吃飯常常卡菜渣,還怕它鬆掉,
外出吃飯都很緊張。
現在固定的牙齒穩穩的,吃什麼都沒顧慮,
連說話的聲音都清楚多了。」
________________________________________
4|一天的改變,真的很快
「我原本以為要花好幾個月,
沒想到當天就植好牙、裝上臨時牙。
從沒牙到有牙,中間只隔了一個晚上,
隔天照鏡子,我自己都嚇了一跳。」
________________________________________
5|早知道就早點做
「我拖了好多年,牙齒越掉越多,咬東西越來越辛苦。
一直怕痛、怕麻煩,結果反而受罪最久。
做完才發現,過程比想像中輕鬆,
早點做,早就能好好享受吃飯的快樂了。」
案例
案例
案例
📌 越早重建,越能保住骨頭與臉型
現在預約全口重建諮詢,您將獲得:
● 全口 3D 影像檢測
● pro arch All-on-4 適合度分析
● 個人化療程規劃與報價
預約諮詢了解自己是否適合 pro arch All-on-4
—
秝康牙醫診所|為您而生
