
牙周治療
水雷射治療
牙周治療|守住牙齒的地基
▌牙齦流血,不只是小事
刷牙時流血、咬東西會酸,
很多人以為只是「沒刷乾淨」或「牙刷太硬」。
但這往往是 牙周病的警訊。
就像房子的地基鬆了,
初期幾乎沒有感覺,
等到牙齦退縮、牙齒開始晃動,
才發現問題已經很嚴重。
什麼是牙周病?
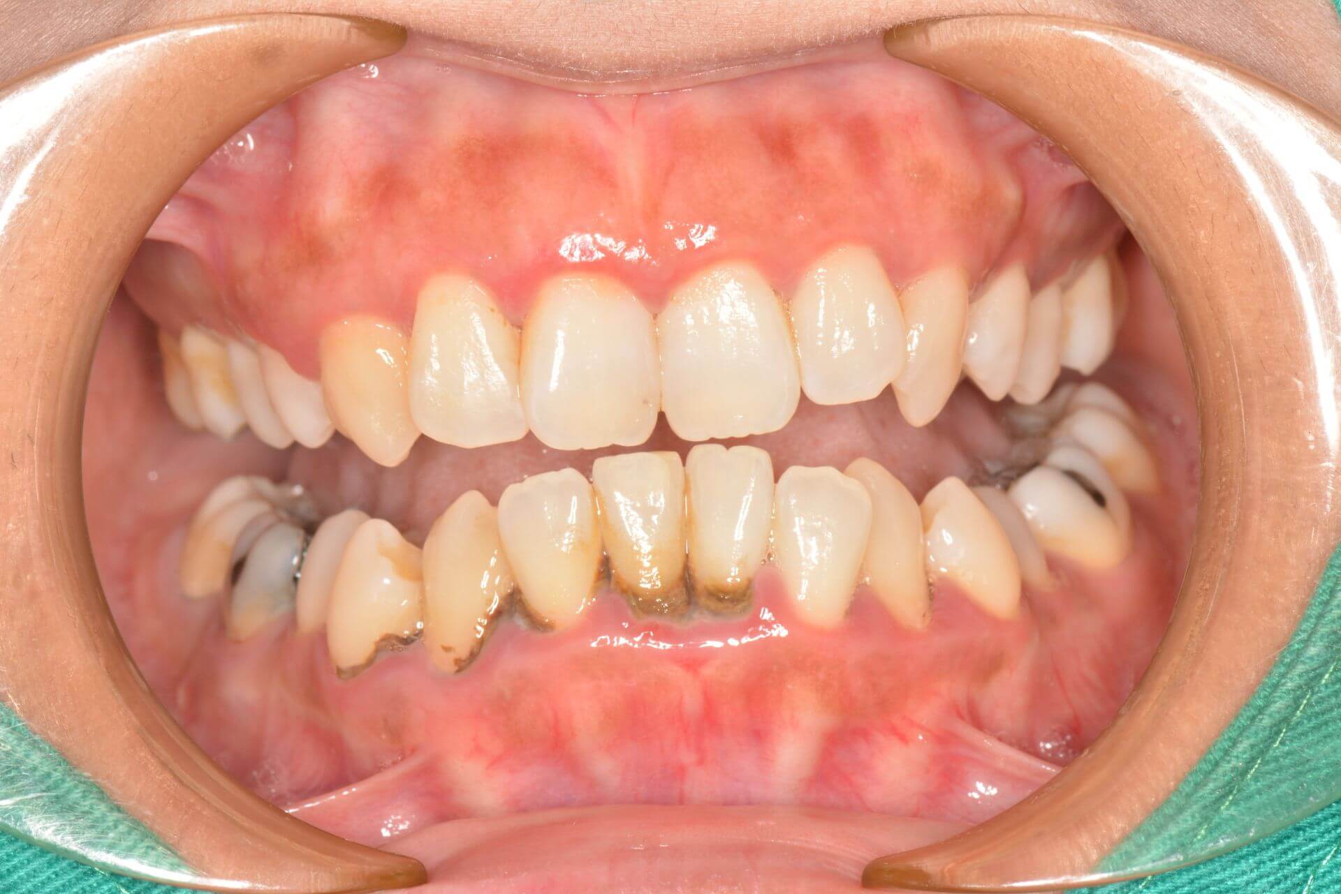
牙周病,是牙齒周圍支持組織(牙齦、牙周韌帶、齒槽骨)的發炎與破壞。
若不及時治療,牙齒會逐漸失去支撐力,最後可能整顆掉落。
常見症狀包括:
● 刷牙或咬東西時流血
● 牙齦紅腫、觸碰會痛
● 口臭、牙縫變大
● 牙齒開始鬆動
秝康的牙周治療,與眾不同
在秝康,牙周治療不是例行公事,
而是一群專注於牙周病的醫師,
用臨床經驗與堅持,陪你守住牙齒。
● 專科背景 × 臨床經驗
我們的醫師受過完整牙周專科訓練,
從基礎清創到複雜牙周手術,都有多年經驗。
● 堅持醫療本質
不只是「清乾淨就好」,
我們會花時間解釋病程,讓你聽得懂、願意配合。
● 全程細緻照護
無論是傳統刮治還是水雷射,
我們都盡量降低不適,並長期追蹤,
讓治療成效能維持,牙齒真的撐得住。
秝康的牙周治療,與眾不同
在秝康,牙周治療不是例行公事,
而是一群專注於牙周病的醫師,
用臨床經驗與堅持,陪你守住牙齒。
● 專科背景 × 臨床經驗
我們的醫師受過完整牙周專科訓練,
從基礎清創到複雜牙周手術,都有多年經驗。
● 堅持醫療本質
不只是「清乾淨就好」,
我們會花時間解釋病程,讓你聽得懂、願意配合。
● 全程細緻照護
無論是傳統刮治還是水雷射,
我們都盡量降低不適,並長期追蹤,
讓治療成效能維持,牙齒真的撐得住。
醫師團隊簡介
● 蘇敏睿 醫師|全口重建 × 水雷射專業
臨床講師級牙周醫師,擅長結合水雷射,降低不適感,守護高風險牙周患者。
● 楊涵傑 醫師|牙周手術 × 精準美學
熟齡患者最信賴的牙周專家,細膩手法與美學觀察,兼顧健康與自然外觀。
● 許育豪 醫師|牙周照護 × 長期維護
擅長分階段規劃,幫助病人建立「治療 + 維護」的完整牙周管理習慣。
治療流程
1. 初診檢查
全口 X 光 + 牙周探測,評估囊袋深度與骨質狀況
2. 基礎治療
傳統 SRP 或水雷射治療,去除結石與感染源
3. 進階治療(必要時)
翻瓣手術、再生治療
4. 定期維護
每 3–6 個月回診,持續追蹤與清潔
患者真心話
● 「以前刷牙流血很習慣,治療後才知道那是牙周病。」
● 「做了深層清潔後,咬東西不再酸軟。」
● 「水雷射比想像中舒服,過程中幾乎沒有不適。」
● 「現在固定回診,牙齒真的穩定下來了。」
案例

案例


📌 越早治療,越能保住自己的牙齒
現在預約牙周治療諮詢,您將獲得:
- 完整牙周檢查
- 個人化治療方案(含水雷射評估)
- 衛教與長期維護建議
💬 預約不收費
讓醫師幫你判斷是否有牙周病,該如何治療與維持。
—
秝康牙醫診所|為您而生